Home
Conditions I Specialize In

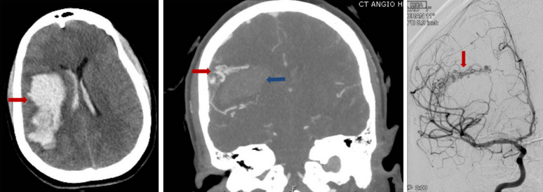
A brain aneurysm is a balloon-like bulge in the blood vessel wall and it is caused by a weakening of the artery’s walls that causes them to slowly stretch and grow over time. Aneurysms pose danger because as they slowly expand, they can rupture leading to blood exiting the vessel through a tear in the aneurysm and bleeding into the fluid space around the brain. Read more…

Brain arteriovenous malformations, or AVMs, are abnormal clusters of blood vessels within the brain. They are thought to arise during brain development in utero or shortly after birth. In these malformations, there are unusual connections between arteries and veins, which over time can weaken and possibly rupture. Read more…

Carotid Stenosis is also called carotid disease is a narrowing of the Carotid Artery in your neck, which supplies blood to the brain. Carotid stenosis is most commonly caused by carotid atherosclerosis (buildup of plaque in the artery) or other conditions such as trauma or infection. As the narrowing increases, blood flow to the brain is reduced and blood clots can form leading to stroke. Read more…

Moyamoya disease is a rare cerebrovascular disease characterized by the slow narrowing of major brain blood vessels over time, resulting in reduced blood flow to specific parts of the brain. With time, these changes may become severe and lead to ischemic stroke, hemorrhagic stroke, and seizures. The Japanese doctors who discovered it named the condition moyamoya, which means “puff of smoke,” Read more…

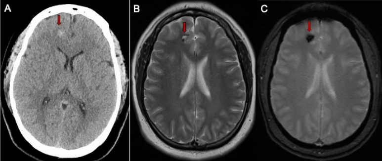
Cerebral cavernous malformations (CCMs) also known as “cavernous hemangiomas,” or simply “cavernomas” are clusters of closely packed abnormal blood vessels encircled by healthy brain tissue. These lesions range in size from less than a quarter of an inch to more than four inches. Unlike brain AVMs, these lesions are low pressure and low flow but still are at risk of leaking blood Read more…

Arteriovenous fistulas are connections between two vessels that are abnormal. Dural arteriovenous fistulas, or DAVFs for short, occur when perforating veins in the dura mater of the brain’s meninges connect an artery and a vein. Arteries transport blood from the heart to the tissues, Read more…

Spinal vascular malformations are a group of blood vessel disorders any of which can lead to spinal cord dysfunction or damage. There are 4 subtypes of spinal vascular malformations and each one has unique causes and and different treatments. Read more…

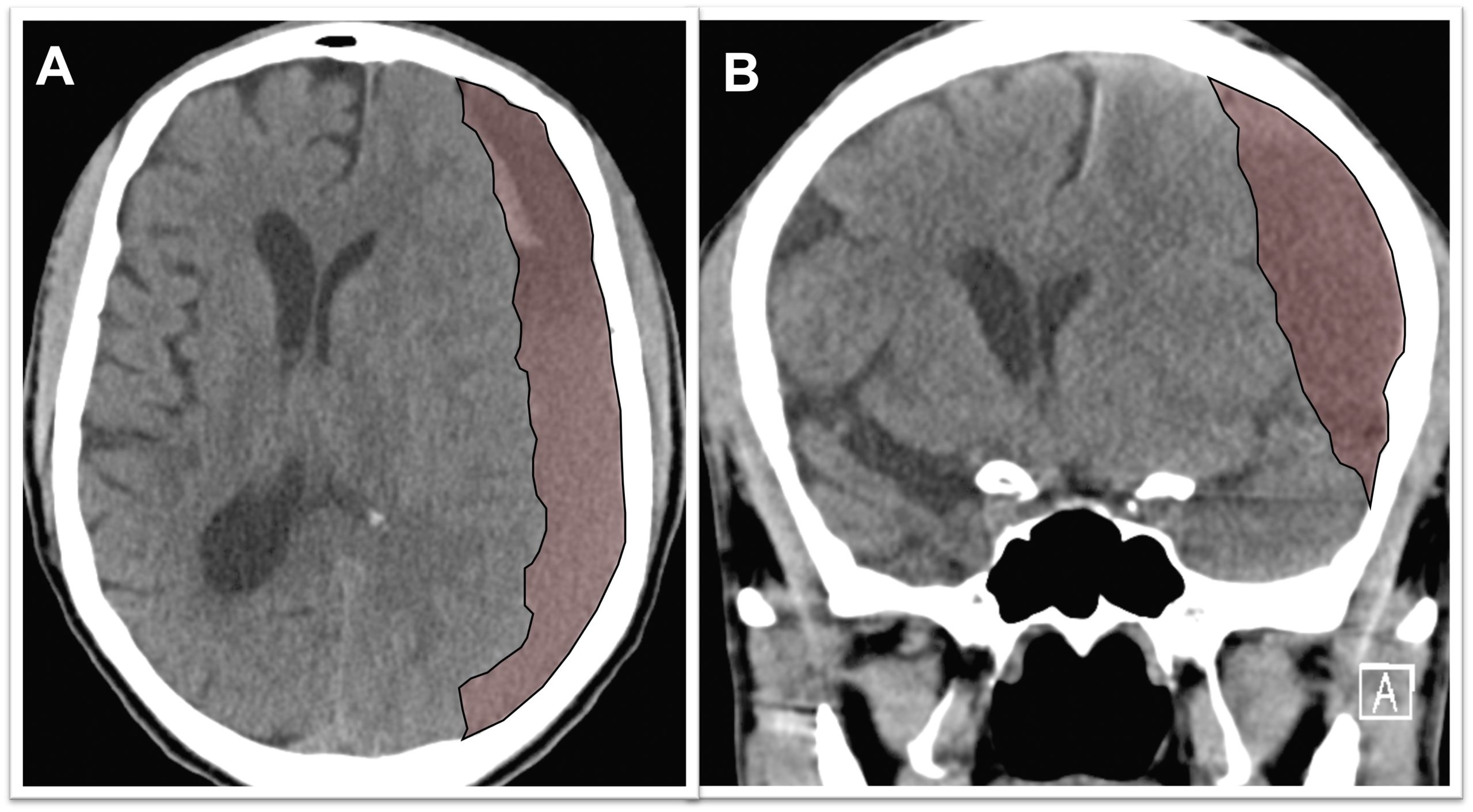
Chronic subdural hematoma (cSDH) is an abnormal collection of blood products in the fluid space between the surface of the brain and the inner lining of the skull, called the “dura matter.” These types of blood product collections occur more frequently in older age groups due to the increased space between the brain surface and the dura matter. Read more…

Acute Ischemic Stroke is a type of stroke that happens when the blood supply to an area of your brain is interrupted. Brain function is very dependent on a continuous blood flow to provide oxygen and essential nutrients. If blood flow is interrupted, sections of the brain fed by that vessel begin to cease functioning and if enough time elapses without blood flow, the brain can be permanently damaged. Read more…

At nunc, tincidunt purus sed purus, gravida rhoncus enim. Sem aliquam elementum quam sed tristique. Nulla ultrices adipiscing gravida cras pulvinar felis. Ut posuere id nec diam. Congue sollicitudin rhoncus egestas sit tincidunt a in cras proin. Nunc volutpat aenean nulla tristique viverra gravida. Ut in ipsum duis dictum eget.





